Humanato

Essentials of Imaging Anatomy

Discover the most comprehensive, high resolution human imaging anatomy visualization platform.

Intuitive labeling

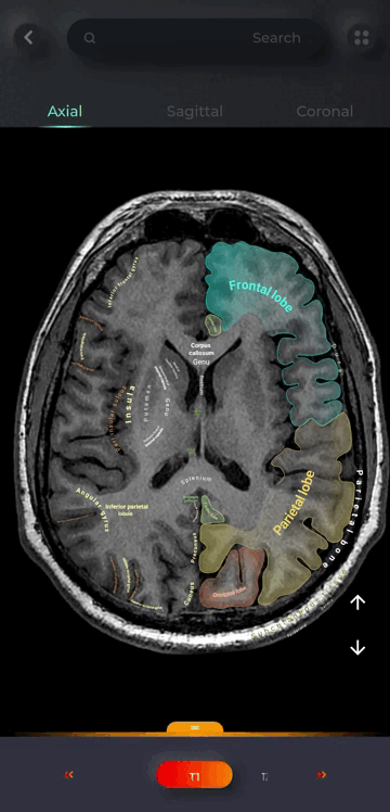
Worlds most intuitive imaging anatomy atlas

  • For easy understanding of anatomical structures.
sasspik tab
saaspik

Accurate

Accurately Labelled anatomy

Reviewed by global experts

  • Scroll 'n' Learn : Scroll images seamlessly to visualize annotations within anatomical structures.

Quality Image

Exceptional High Quality 3T MR images

sasspik tab

why choose us

Key features of our app

Effortlessly find anatomical structures within CT/MRI atlas

Maximized atlas view with sketching and bookmark functionality. Whether you are an educator or a student , you will find its use invaluable

Change transparency of annotations to your desired level

Seamlessly switch between MRI sequences and CT windows for a comprehensive view of anatomical details

Download App

Try Humanato

For Deeper Understanding Of Intricacies Of Human Body

Our Location
Healthino private limited HiLITE Business park, 1st Floor Thondayad bypass, Poovangal Kozhikode Kerala 673014

Say Hello
  info@humanato.com